Sanjay Banypersad and Keith Pearce: Succesful Accreditation in Echocardiography - A Self Assesment Guide

SANJAY BANYPERSAD | KEITH PEARCE

Cardiovascular Cases

Cardiovascular

Case 18:

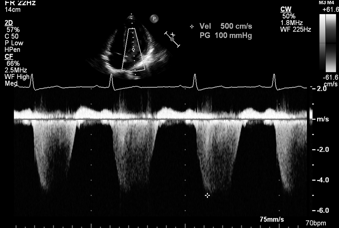
CASE

A 17-year-old girl who is normally fit and well presents with a few months of worsening ankle oedema and chest pain on exertion. There is no significant past medical history. Her echo is shown in Figure 18.1 and in Videos 18.1, 18.2, 18.3, 18.4, 18.5, 18.6 and 18.7.

QUESTION

Your score this session: 0 of 0

Q1. Which of the following is not present: (Select ONE option)

Copyright © 2012 John Wiley & Sons | Privacy Policy