Sanjay Banypersad and Keith Pearce: Succesful Accreditation in Echocardiography - A Self Assesment Guide

SANJAY BANYPERSAD | KEITH PEARCE

Cardiovascular Cases

Cardiovascular

Case 5:

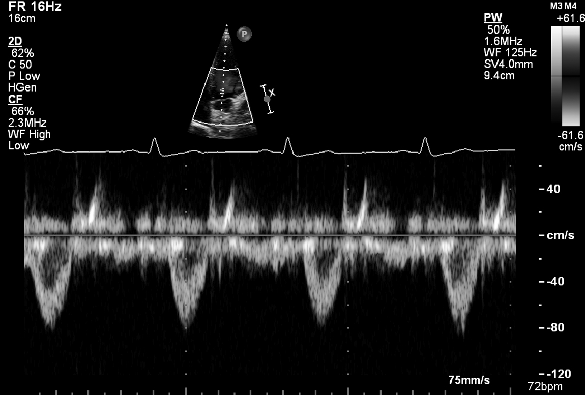
CASE

A 35-year-old woman presents with worsening exertional dyspnoea over 3 months following a viral illness. She has no chest pain. She is a non-smoker. ECG shows LBBB. The basal septum thickness is 0.5 cm and the LV is 6 cm at end-diastole. Peak LVOT velocity is 0.8 m/s and peak aortic velocity is 1.2 m/s. Her echo is shown in Fig 5.1, 5.2 and Videos 5.1, 5.2, 5.3, 5.4, 5.5, 5.6, 5.7, 5.8, 5.9, 5.10 and 5.11.

QUESTION

Your score this session: 0 of 0

Q1. Which of the following does not best describe the LV: (Select ONE option)

Copyright © 2012 John Wiley & Sons | Privacy Policy